Masalah tulang patah dan retak merupakan sesuatu yang berbahaya untuk penghidap penyakit osteoporosis. Selalunya, masalah ini tidak disedari pesakit hinggalah simptom yang lebih serius berlaku.
Masalah tulang patah dan retak merupakan sesuatu yang berbahaya untuk penghidap penyakit osteoporosis. Selalunya, masalah ini tidak disedari pesakit hinggalah simptom yang lebih serius berlaku.

Osteoporosis bermaksud tulang yang berliang (porous). Masalah tulang ini menyebabkan pesakit kehilangan kalsium dan mineral penting daripada tulang. Akibatnya, tulang akan menjadi lebih lemah dan mudah retak.
Oleh sebab itu, penghidap osteoporosis berhadapan dengan bahaya tulang retak setiap hari. Sukar untuk mereka melakukan aktiviti harian seperti berkebun, mengangkat barang dan sebagainya tanpa menghadapi risiko kecederaan.
Malah, mereka juga amat berisiko untuk mengalami kecederaan serius jika terjatuh di sekitar kawasan rumah. Sebab itulah, penghidap osteoporosis perlu lebih berhati-hati jika ingin melakukan kerja-kerja di luar rumah.

Masalah tulang patah dan retak merupakan keadaan yang lazim dalam kalangan pesakit osteoporosis.
Setiap tahun, 1 daripada 3 orang yang berumur 65 tahun ke atas akan alami kemalangan seperti terjatuh. Dalam kebanyakan kes, tulang pesakit pasti akan patah ataupun retak.
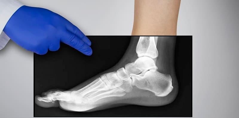
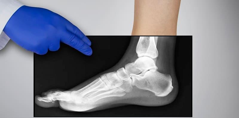
Selalunya, pesakit osteoporosis akan patah tulang pergelangan tangan, tulang belakang atau tulang pinggul. Keretakan tulang pula paling banyak berlaku pada kawasan tulang belakang.
Setiap tahun, hampir 550,000 kes retak tulang belakang dicatatkan di Amerika Syarikat disebabkan penyakit osteoporosis. Ini sudah cukup untuk membuktikan betapa seriusnya penyakit ini.
Kepada individu yang mempunyai ibu bapa yang menghidap osteoporosis, anda perlulah menasihati mereka untuk lebih berhati-hati semasa melakukan kerja di luar rumah.
Kadangkala, mereka tidak perasan wujudnya bahaya yang boleh menyebabkan mereka terjatuh dan alami keretakan tulang.
Pasu bunga, hos air atau apa-apa barang yang berada di atas tanah boleh mendatangkan bahaya lebih-lebih lagi ketika ibu bapa anda sedang leka melakukan kerja-kerja rumah.
Oleh sebab itu, kami ingin kongsikan beberapa tip berguna yang boleh menjadi panduan anda atau ibu bapa anda yang menghidap osteoporosis.

Tidak dinafikan, pesakit osteoporosis perlu lebih berhati-hati semasa melakukan kerja di kawasan luar rumah untuk elakkan kemalangan yang boleh menyebabkan masalah tulang retak atau patah.
Semasa bekerja di luar rumah, pastikan anda:
Sebenarnya, ada banyak langkah yang boleh dilakukan oleh pesakit osteoporosis untuk melindungi tulang belakang daripada mengalami keretakan.
Selain tip am yang kami berikan di atas, ada juga langkah-langkah lain seperti mengehadkan pergerakan tertentu yang boleh meningkatkan risiko kecederaan.
Sebagai contoh:
Jika anda menghidap osteoporosis, elakkan pergerakan tunduk ke bawah. Sebagai contoh, jangan sesekali angkat barang berat dengan cara membengkokkan belakang anda ke hadapan.
Ambil barang di atas lantai dengan cara membengkokkan lutut anda. Jangan sesekali bengkokkan badan ke hadapan jika anda ingin mengelakkan sebarang kecederaan pada kawasan tulang belakang.
Elakkan memusingkan badan secara ekstrem sehingga rasa sakit pada kawasan otot.
Sebagai contoh, sukan seperti golf, tenis dan sebagainya perlulah dielakkan untuk mengurangkan risiko kecederaan.
Penghidap osteoporosis perlulah mengelakkan diri daripada mengangkat barang yang terlalu berat, lebih-lebih lagi item yang mempunyai berat 5 kg ke atas.
Selain itu, jangan angkat benda berat di atas kepala. Aktiviti ini boleh menyebabkan keretakan jika pesakit tidak berhati-hati.

Kadangkala, kita tidak dapat mengelakkan diri daripada melakukan aktiviti yang berisiko di kawasan rumah. Aktiviti seperti menukar lampu, membersihkan kipas dan sebagainya perlu dilakukan dengan lebih berhati-hati.
Kalau boleh, minta orang lain tolong buatkan kerja-kerja ini pada masa hadapan. Jangan risikokan diri ya! Silap-silap, kalau terjatuh patah atau retak pula tulang nanti.
Jika anda masih belum merujuk kepada doktor mengenai penyakit osteoporosis yang dialami, ini mungkin masa yang paling tepat untuk bercakap tentangnya.
Risiko tulang retak disebabkan penyakit osteoporosis boleh dielakkan dengan kerjasama bersama doktor.
Sebagai contoh, doktor mungkin akan mencadangkan beberapa bentuk senaman, pengambilan suplemen dan perubahan gaya hidup yang sesuai untuk mengurangkan risiko tulang retak.
Selain itu, elakkan minum minuman beralkohol, merokok dan teruskan mengambil ubat-ubatan osteoporosis yang diberikan oleh doktor.
Penafian
Hello Health Group tidak menawarkan nasihat perubatan, diagnosis atau rawatan.
Versi Terbaru
13/01/2022
Ditulis oleh Fatin Zahra
Disemak secara perubatan oleh Dr. Joseph Tan
Diperbaharui oleh: Asyikin Md Isa