Pneumothorax berlaku apabila terdapat aliran udara antara paru-paru dan dinding dada. Terdapat 2 jenis pneumothorax iaitu: Pneumothorax idiopatik (tiba-tiba berlaku pada individu yang sihat, tidak terdapat sejarah penyakit) dan pneumothorax sekunder (muncul daripada komplikasi paru-paru). Sekiranya tidak dirawat dengan segera, penyakit ini boleh menyebabkan kematian.

Keadaan kesihatan ini adalah biasa dalam kalangan individu yang berusia 20 hingga 30 tahun, terutama dalam kalangan mereka yang tinggi dan kurus. Ia boleh diuruskan dengan mengurangkan faktor risiko anda. Sila berbincang dengan doktor anda untuk mendapatkan maklumat lanjut.
Simptom-simptom yang paling biasa adalah sesak nafas dan sakit di bahagian dada, terutamanya apabila anda menarik nafas dan menghembuskan nafas. Terdapat juga simptom-simptom lain seperti:
Mungkin terdapat beberapa simptom yang tidak disenaraikan seperti di atas. Sekiranya anda mempunyai keraguan mengenai simptom, sila berjumpa dengan doktor anda.
Jika anda mengalami mana-mana tanda dan simptom yang disenaraikan di atas atau anda mempunyai sebarang persoalan, sila berunding dengan doktor anda. Setiap tubuh manusia bertindak dengan berbeza. Oleh itu, cara yang terbaik adalah untuk berbincang dengan doktor anda bagi menentukan penyelesaian terbaik untuk situasi anda.
Pada masa ini, saintis telah mengetahui penyebab bagi pneumothorax. Saintis menyatakan bahawa gelembung udara meletup dan udara bertakung di dalam paru-paru. Pneumothorax kadangkala boleh menjadi penyakit keturunan.
Sementara itu, pneumothorax sekunder berlaku apabila anda mengalami penyakit paru-paru (asma, tuberkulosis, batuk kokol, COPD pulmonari obstruktif kronik). Di samping itu, kecederaan paru-paru atau dada juga boleh menjadi punca pneumothorax.
Terdapat banyak faktor risiko untuk pneumothorax seperti:
Tidak terdapat sebarang faktor risiko tidak bermakna anda tidak berpotensi untuk mendapat penyakit ini. Tanda-tanda ini hanya untuk rujukan sahaja. Anda perlu berbincang dengan doktor pakar untuk maklumat lanjut.
Maklumat yang diberikan bukan pengganti untuk sebarang nasihat perubatan. SILA berunding dengan doktor anda untuk maklumat lanjut.
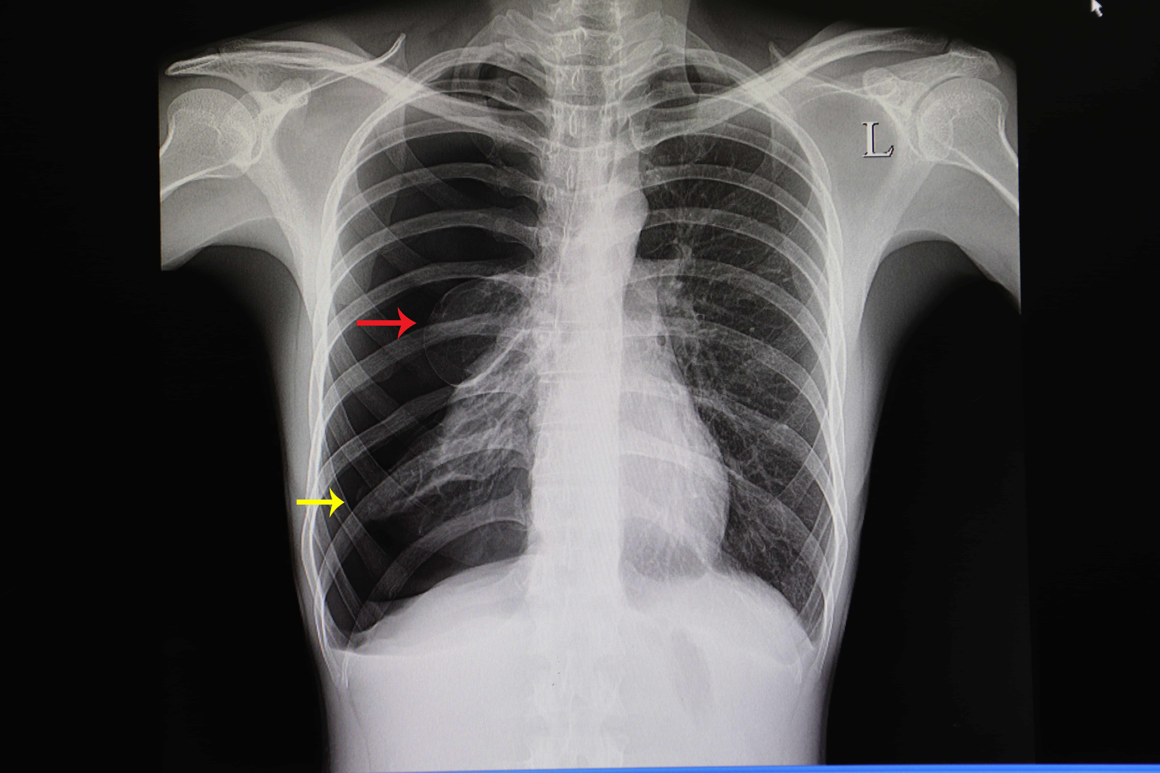
Doktor anda akan menyemak sejarah perubatan anda dan melakukan pemeriksaan fizikal. Doktor anda akan mendengar bunyi pernafasan melalui stetoskop. X-ray dada boleh mendiagnosis pneumothorax. Di samping itu, doktor akan memeriksa paras oksigen darah anda dan jantung dengan menggunakan ECG untuk menentukan sama ada anda mempunyai pneumothorax atau tidak.
Rawatan bergantung kepada tahap pneumothorax dan penyebabnya. Pneumothorax yang ringan boleh dirawat dengan membenarkan tubuh menyerap atmosfera. Untuk pneumothorax yang lebih teruk, jarum suntikan boleh dimasukkan ke dalam dada anda untuk mengeluarkan udara. Sekiranya lubang tersebut besar, anda mungkin perlu menggunakan tiub selama beberapa hari untuk memastikan paru-paru dipam sehingga lubang tersebut kembali sembuh. Sekiranya kaedah di atas masih tidak berkesan, anda perlu melakukan pembedahan untuk mengelakkan kewujudan udara di dalam paru-paru anda.
Gaya hidup dan pengubatan sampingan yang berikut mungkin membantu anda untuk mengatasi pneumothorax:
Sekiranya anda mempunyai sebarang pertanyaan, sila berunding dengan doktor untuk memahami penyelesaian terbaik untuk anda.
Penafian
Hello Health Group tidak menawarkan nasihat perubatan, diagnosis atau rawatan.
Versi Terbaru
18/12/2019
Ditulis oleh Muhammad Wa'iz
Fakta Disemak oleh Hello Doktor Medical Panel
Diperbaharui oleh: Muhammad Wa'iz
Fakta Disemak oleh
Hello Doktor Medical Panel