Awas! Jangan Biarkan Jika Tiba-tiba Mata Sepet Sebelah! Ini Punca Sebenarnya
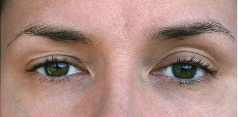
Rasa pelik kebelakangan ini mata sepet sebelah? Jom ketahui punca, cara rawatan dan pencegahan yang boleh dilakukan dalam perkongsian artikel ini. Untuk mendapatkan lebih banyak info tentang Kesihatan Mata, sila dapatkannya di sini. Mata sepet sebelah @ Ptosis Kelopak mata kuyu patologi, atau disebut ptosis mungkin berlaku disebabkan trauma, usia, keadaan neurologi atau disebabkan masalah perubatan. Keadaan ini dipanggil […]

































